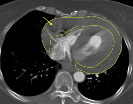
46歲的陳小姐日前騎機車返家途中,突感頭暈、意識不穩而失控摔倒,緊急送抵土城醫院時已陷入休克狀態,急診醫療團隊立即啟動重症評估與影像檢查,經電腦斷層掃描發現,患者心臟外層已迅速累積大量心包積血,並高度懷疑合併外傷引發的「升主動脈剝離」,屬於死亡率極高、分秒必爭的致命急症,隨即啟動跨科整合搶救機制,在關鍵72小時內接力完成三次重大手術,成功將患者從生死關頭拉回。
土城醫院胸腔及心臟血管外科主治醫師鄭元熙指出,心包積血是指血液在極短時間內大量堆積於心臟外層空間,造成心臟受壓,無法正常擴張與跳動,血壓會急遽下降,甚至在數分鐘內引發心跳停止,是典型的立即致命急症;而升主動脈為全身最粗大的血管,一旦發生剝離或破裂,出血速度宛如水管爆裂,臨床上不乏患者在尚未送醫前即發生致命後果。

陳小姐回憶自己長期有反覆頭暈的困擾,過去也曾因突發頭暈騎腳踏車摔倒,但因症狀短暫而未進一步就醫檢查,此次休克後,影像檢查確認為大量心包積血,醫療團隊第一時間成立跨科搶救小組,由心臟外科緊急執行「劍突下心包開窗術」,迅速解除心臟壓迫、穩定循環。
隨後無縫銜接由血管外科進行高難度的「升主動脈置換術」,以人工血管重建破裂的主動脈。整體手術歷時甚長,期間醫療團隊全程與時間競速,並在術後陸續完成止血、調整及胸骨固定等關鍵處置,術後由加護病房醫療團隊嚴密監測病況,並在復健團隊循序協助下進行心肺功能訓練,患者恢復情形良好,最終順利康復出院。
鄭醫師提醒,心包積血與主動脈剝離往往來得又急又快,初期甚至可能沒有明顯預兆,卻能在短時間內危及生命,若本身有高血壓、動脈硬化或心血管疾病家族史,應定期追蹤檢查並戒菸控制風險;一旦出現突發性劇烈胸痛、背痛、腹痛,或頭暈、暈厥等非典型症狀,切勿輕忽,務必立即就醫,把握黃金搶救時機。