彰基胸腔內科林聖皓主任提醒,肺腺癌初期不易察覺,若病況進展或轉移,院內仍有完整跨科團隊可應對。圖/彰基醫院提供
近來多位名人因肺腺癌驟逝,引發社會對「最沉默的癌王」高度關注。肺腺癌初期幾乎沒有症狀,等到出現咳嗽、頭暈或神經異常時,往往已是晚期。彰化基督教醫學中心於2022年成功治療一名合併腦轉移的肺腺癌患者,透過跨科團隊的精準醫療,不僅控制病情,病人三年後仍穩定康復,重返職場。
41歲的許先生原為文具業務,是家中主要經濟支柱。三年前某日清晨,他突然右側肢體無力、抽搐倒地,家人緊急送醫。經電腦斷層與核磁共振檢查,發現腦部有3公分腫瘤,右下肺另有4公分腫塊,確診為肺腺癌合併腦轉移。

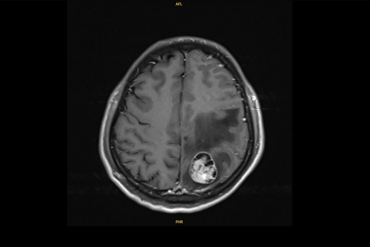
許先生的腦部核磁共振檢查發現腫瘤達3.1公分,進一步確診為肺腺癌轉移。圖/彰基醫院提供
彰基胸腔內科主任林聖皓醫師指出,肺腺癌是最具挑戰性的癌症之一,即使非吸菸者也可能罹患。「肺腺癌細胞常潛藏於肺部周邊,初期沒有明顯症狀,等被發現常已擴散。」林主任表示,透過基因分型找出突變基因並使用對應標靶藥物,是肺癌治療的重要突破。
許先生入院後初步檢測未發現可用突變,後續在彰基協助下參與國家衛生研究院臨床試驗,最終確認帶有EGFR exon
19 deletion突變,得以使用第三代標靶藥物。治療一段時間後,影像顯示腫瘤由4公分縮小至2.8公分,控制成效顯著。

經治療後影像追蹤可見,原近4公分腫瘤明顯消失,病情獲得良好控制。圖/彰基醫院提供
然而,病人仍出現神經症狀。胸腔內科立即啟動跨科整合照護,與神經外科孫立偉醫師合作進行腦瘤切除,術後神經功能恢復良好。為達長期控制,團隊再由胸腔外科洪維亨醫師執行肺葉切除手術。洪醫師指出,肺癌合併腦轉移的手術風險高,但彰基具備完善影像導引與重症照護體系,使治療更安全。
在治療過程中,醫療團隊除持續追蹤病情,也提供心理支持與病友陪伴,並協助申請「育田基金」補助,減輕家庭經濟壓力。許先生說,「從腦瘤、肺癌到康復,我很感謝彰基的醫師和護理師,不只救了我的命,也讓我重拾生活勇氣。」目前他已恢復健康,轉任計程車司機。
林聖皓主任提醒,肺癌是台灣癌症死亡首位,早期幾乎無症狀,唯有透過低劑量電腦斷層(LDCT)篩檢才能及早發現。「有吸菸史、家族病史或長期暴露油煙的民眾,都應主動檢查,別等身體出現警訊才就醫。」
彰基統計,2024年完成825人次篩檢、發現21例癌症;2025年截至9月完成1185人篩檢、發現10例。林主任強調,越早發現、治癒率越高,「早一步篩檢,就可能多一分希望。」